Tendinitis de Rodilla
No siempre que la persona tiene dolor en la rodilla se trata puntualmente de un problema en los meniscos, pero varias veces lo que...
La Osteoporosis mejora con el Ejercicio Físico
La osteoporosis es una enfermedad muy habitual, hoy os hablaremos de la importancia de hacer ejercicio físico tanto para su prevención como para la...
La Fisioterapia como tratamiento para la Osteoporosis
La fisioterapia ofrece numerosas soluciones para mejorar el estado de salud general de la mujer, solucionando problemas específicos como pueden ser los dolores causados...
Diagnostico de Rotura del Tendón del Cuádriceps
Síntomas de la Rotura del Tendón
Después de haber recibido un golpe en la rodilla los síntomas típicos son:dolor agudo
inflamación
pérdida de capacidad funcional de la...
Rotura del Tendón del Cuádriceps
No es común que el tendón del cuádriceps se rompa, y cuando sucede es a personas mayores de 40 años.Ciertas enfermedades y la degeneración...
Sindrome del Túnel Carpiano e Irritación Nerviosa
Ya hablamos con anterioridad del Sindrome del Túnel Carpiano, su tratamiento y prevención, pero a continuación, queremos informaros sobre causas variables que pueden causar...
¡Fisioterapia para pasar unas excelentes vacaciones!
Durante los periodos vacacionales solemos hacer más ejercicio físico. ¡Hazlo de manera segura con ayuda de la fisioterapia!
Cuando se trata de tomar unas vacaciones...
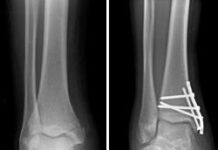
Cómo tratar una Fractura de Tobillo antes de que lleguen los médicos
Una lesión de tobillo no es algo que deba tomarse a la ligera, sino algo que debe tratarse de inmediato, pues podría llegar a...
Clasificación y Tipos de Fracturas
¿Qué es una fractura?
La definición de Fractura es tan sencilla como: la rotura de un hueso. Teniendo en cuenta que puede ser fractura total...
La Tendinitis y su Tratamiento
En nuestros días es muy común sufrir de tendinitis, ya que una de las causas que la genera más comunes es el sobreesfuerzo de...
Los Dolores Musculares – Causas y Tratamiento
Causas de los dolores muscularesLas causas más frecuentes de dolores musculares son la sobrecarga de los músculos y el estrés.
Se dice que un músculo...
Enfermedad degenerativa articular (Artrosis)
Es una enfermedad degenerativa del órgano articular. A su vez todos los tejidos de la articulación están afligidos, el más comprometido es el cartílago.La...
Fisioterapia para Tratar la Artrosis
Se debe calmar al paciente con respecto a esta enfermedad que generalmente es benigna explicando las características de desgaste articular y su evolución. Es...
Causas y Prevención del Dolor de Columna
Prevenir Dolores de Espalda
Dolores de Columna ¿Se pueden prevenir?
Muchos corredores concurren a la consulta médica con la queja del dolor de cintura o de...
La Kinesiología. ¿Qué es y Cómo puede Ayudarte?
La kinesiología es una terapia natural que aplica el test muscular como herramienta para reequilibrar y reforzar la energía vital y mejorar la salud.
¿Qué...
Aliviar el Dolor de Espalda Baja. Dolor Lumbar
Ejercicios para Aliviar el Dolor de Espalda.
Aliviar el Dolor Lumbar.
Una investigación llevada acabo por la Sociedad Española del Dolor -S.E.D.- reveló la incidencia...















