Brazo ortopédico
La tecnología ha logrado que a través de los nervios que quedan luego de amputar el brazo, la persona pueda controlar automáticamente el brazo...
Bursitis
Las bursas son como unas bolsas que se encuentran en los músculos, tendones y huesos, y cuando se encuentran inflamados o irritadas causan dolor....
Luxación de la cadera
Luego de los 10 años de edad suele ser muy difícil curar al paciente u obtener un buen resultado, en el caso que la...
La Discapacidad y la Minusvalía
Algunas de las diferencias entre la discapacidad y la minusvalía, siempre por lo general no las tenemos bien claras.La discapacidad es consecuencia de una...
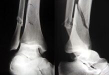
Reparaciones de las fracturas
En algunas ocasiones el hueso necesita dos meses para poder sanar pero por ejemplo el fémur cuando esta fracturado tarda hasta seis meses en...
Los Esguinces Benignos.
Muchas veces llamados Entorsis, los esguinces benignos suceden a menudo por un estiramiento violento de los ligamentos articulares, sin la rotura, hematoma ni arrancamiento.Este...
Politraumatismo en los niños
Es muy importante tener en cuenta que la medicina esta cambiando y que crece cada día aun más. Hoy en día es mucho más...
La enfermedad de Legg -Calve -Perthes
Esta enfermedad es causada por grados diversos de la cabeza femoral y por isquemia, es uno de los trastornos de la cadera autolimitado. La...
Nuevo método de inyección para reparar huesos quebrados
Las investigaciones y la tecnología avanzan en favor de la salud de las personas.Ahora si usted sufrió una quebradura de algún hueso, puede solucionarlo...
Fisioterapia acuática en el dolor y desviaciones de espalda
Autor: Francisco Javier Castillo MontesExperto universitario en fisioterapia acuáticaFisioterapeuta de la piscina cubierta de Huétor Tájar (Granada)Colegiado en el Ilustre Colegio de Fisioterapeutas de...
Fisioterapia y Semana Santa. Precauciones para los Costaleros
Los fisioterapeutas recomiendan a los costaleros tomar precauciones para evitar lesiones esta Semana Santa.Caminar mirando al frente, mantener la espalda recta y realizar ejercicios...
Traumatismos en la Infancia
En los países industrializados, los traumatismos son la causa de muerte más frecuente en los niños, es decir, provocan más muertes que el cáncer,...
Debilitamiento de la Fisis Femoral Superior
Durante la adolescencia en la etapa de rápido crecimiento, es muy normal es debilitamiento de la fisis femoral superior, de esta manera as fuerzas...












