
En algunas ocasiones el hueso necesita dos meses para poder sanar pero por ejemplo el fémur cuando esta fracturado tarda hasta seis meses en lograr sanar.
Se produce un crecimiento de las células óseas que se reproducen de forma muy lenta, en un hueso cuando se fractura el aporte sanguíneo comienza a disminuir y es una de las causas por las cuales se torna difícil la curación de un hueso infectado.
Luego que experimentamos una fractura hay varios pasos para lograr un buen proceso de curación ya que como resultado de la fractura los vasos sanguíneos que atraviesan la línea de la fractura se rompen.
Estos vasos se alojan en la cavidad medular, en los sistemas de Havers (osteomas) y en el periostio.
Por causa de esas rupturas de los vasos la sangre se comienza a alojar y se acumula en los extremos lesionados de los vasos formándose así un coagulo alrededor de la fractura y de la misma.
A este coagulo se le llama hematoma de la fractura y generalmente se hace presente después de las ocho horas de la fractura
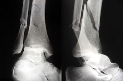
Como al romperse los vasos sanguíneos la circulación se detiene a causa del hematoma que se forma, eso causa la muerte de las células óseas y de las células periosticas.Si no es necesario el injerto óseo, la fractura se puede reparar de diferentes formas. Insertando uno o más tornillos a través de la ruptura para sostener el hueso. Perforando y fijando una placa de acero sostenida por tornillos en el hueso. O introduciendo un clavo metálico largo y grueso.
FisioterapiaADomicilio.net, junto con FisioStar, Salud 5 Estrellas.
Noticias, Artículos, Vídeos y Toda la Información sobre Fisioterapia y Salud.










