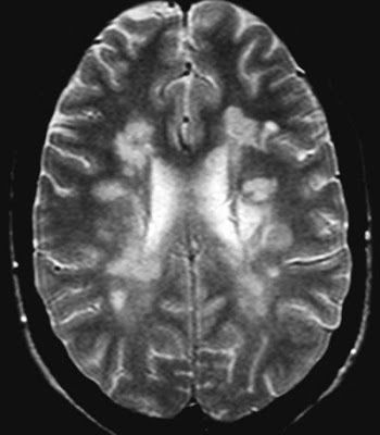
Cualquier persona que sufra de esclerosis múltiple sin importar su discapacidad necesita realizar ejercicio de manera regular, es importante tener claro que el ejercicio no solo mejora el bienestar general, también es importante a la hora de prevenir otros males que se asocian con la esclerosis múltiple. Una de las cosas vitales en la rutina de ejercicio de quienes padecen esta enfermedad es ejercitar la flexibilidad, gracias a esto es que podemos prevenir la perdida de movilidad.Otro punto importante es incrementar la fuerza de nuestros músculos, para esto los típicos ejercicios con pesas son suficiente, obviamente asistidos por un profesional. Seguro piensen que ya esta completo el listado de cosas a tener en cuenta pero falta aun lo mas importante, es la coordinación y el equilibrio, esto beneficiara de gran manera la calidad de vida del paciente otorgándole gran confianza en sus movimientos.

La esclerosis múltiple: 121 (QUE SABEMOS DE?)
11,40€
Amazon.es

Esclerosis Múltiple y (mucha) Vitamina D: Mi tratamiento con el Protocolo Coimbra para Enfermedades Autoinmunes
11,94€
Amazon.es

Tratamiento Natural De LA ESCLEROSIS Múltiple
11,40€
Amazon.es

Esclerosis múltiple
32,90€
Amazon.es

Vivir con esclerosis múltiple
13,30€
Amazon.es





