Los Esguinces Benignos.
Muchas veces llamados Entorsis, los esguinces benignos suceden a menudo por un estiramiento violento de los ligamentos articulares, sin la rotura, hematoma ni arrancamiento.Este...
Politraumatismo en los niños
Es muy importante tener en cuenta que la medicina esta cambiando y que crece cada día aun más. Hoy en día es mucho más...
El paciente y sus derechos
Luego de terminarse la tradición hipocrática en la rama de la medicina con el pasar de los años luego de 2500 años, la ética...
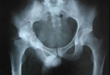
STC (Sinovitis transitoria de la cadera)
Una de las causas mas frecuentes en la cual se manifiesta esta enfermedad es la cojera a causa de dolores en la cadera o...
Dolores lumbares (Lumbalgia)
En la gran mayoría de los casos los pacientes necesitan solamente un tratamiento medico para lograr calmar el dolor. El dolor lumbar (lumbalgia) es...
La enfermedad de Legg -Calve -Perthes
Esta enfermedad es causada por grados diversos de la cabeza femoral y por isquemia, es uno de los trastornos de la cadera autolimitado. La...
Sobre Artrosis
Artrosis, esta es una enfermedad degenerativa del órgano articular, sin embargo todos los tejidos de la articulación se encuentran afectados, el mas comprometido de...
El Kinesiotaping para Acelerar la Recuperación de los Dolores de Espalda
Las consultas de los fisioterapeutas cuentan con una nueva arma para aliviar el dolor de espalda: el kinesiotaping. Esta técnica utiliza unas bandas elásticas...
Nuevo método de inyección para reparar huesos quebrados
Las investigaciones y la tecnología avanzan en favor de la salud de las personas.Ahora si usted sufrió una quebradura de algún hueso, puede solucionarlo...
Fisioterapia acuática en el dolor y desviaciones de espalda
Autor: Francisco Javier Castillo MontesExperto universitario en fisioterapia acuáticaFisioterapeuta de la piscina cubierta de Huétor Tájar (Granada)Colegiado en el Ilustre Colegio de Fisioterapeutas de...
El Stretching – Segunda Parte
Todas las personas actúan de distinta forma a una actividad física. Son distintas en cuanto a estructura, soltura y fuerza.Algunas están bien dotadas para...
El Stretching – Primera Parte
Las maquinas nos han hecho la vida más fácil en muchos aspectos, pero también nos han creado nuevos problemas muy serios.En lugar de andar...
Calambres, contusiones y distorsiones musculares.
Los calambres son provocados generalmente por un gran esfuerzo, logrando así que los músculos se contraigan.Provocando un dolor muy intenso, y la movilización normal...
Fisioterapia y Semana Santa. Precauciones para los Costaleros
Los fisioterapeutas recomiendan a los costaleros tomar precauciones para evitar lesiones esta Semana Santa.Caminar mirando al frente, mantener la espalda recta y realizar ejercicios...
Masaje Circulatorio en Fisioterapia
Cada tratamiento de fisioterapia prescripto por el médico trata de solucionar una dolencia específica o de prevenir problemas debidos a malos hábitos, malas posturas,...
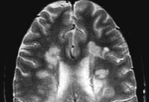
La Esclerosis Múltiple
Cualquier persona que sufra de esclerosis múltiple sin importar su discapacidad necesita realizar ejercicio de manera regular, es importante tener claro que el ejercicio...















